So, 08:48 Uhr
18.10.2020
Vorsorge wichtiger denn je
Karies und Kreidezähne bei Thüringer Kindern
Zahnteufel könnten in Zeiten der Pandemie gut lachen haben. Einerseits meiden manche Eltern aus Vorsicht den Zahnarztbesuch mit ihren Kindern, andererseits ist die Gruppenprophylaxe in Kindergärten und Schulen momentan stark zurückgefahren...
In dieser Ausnahmesituation ist es wichtiger denn je, dass Eltern genauestens auf die Zahn- und Mundgesundheit ihrer Kinder achten, appelliert Birgit Dziuk, Landesgeschäftsführerin der BARMER Thüringen. Die Gruppenprophylaxe in Kindergärten und Schulen sei momentan nicht in gewohntem Maße möglich, weshalb es umso wichtiger sei, Zahnarzttermine nicht aufzuschieben. Karies, Kreidezähne und andere Zahnerkrankungen machen keine Pause während der Pandemie, so Birgit Dziuk.
Die BARMER hat in ihrem aktuellen Zahnreport festgestellt, dass es fast zwei Drittel der Eltern in Thüringen versäumen, mit ihren Kindern zur Vorsorgeuntersuchung zum Zahnarzt zu gehen. So waren 2018 lediglich 39 Prozent der Zweieinhalb- bis Sechsjährigen Thüringer zur Früherkennungs-untersuchung. Bundesweit waren es sogar nur 35,2 Prozent. Ganze 15 Prozent der unter Sechsjährigen waren den BARMER-Auswertungen zufolge noch nie beim Zahnarzt. Wer mit seinen Kindern nicht zur Vorsorge geht, bringt sie um die Chance, mit gesunden Zähnen aufzuwachsen. Kariöse Milchzähne führen zu schlechten bleibenden Zähnen, schlimmstenfalls auch zu Fehlernährung und Entwicklungsstörungen, unter denen die Kinder ein Leben lang leiden, sagt Birgit Dziuk und verweist auf die hohen Hygienestandards in Thüringens Zahnarztpraxen. Termine ausfallen zu lassen, sei die denkbar schlechteste Lösung in der aktuellen Situation.
Karies und das Rätsel Kreidezähne
Dem BARMER Zahnreport zufolge steigt die Rate der Inanspruchnahme von Vorsorgeuntersuchungen mit den Lebensjahren. Immerhin 70 Prozent der 6- bis 18-jährigen Thüringer waren im Jahr 2018 zur Vorsorge beim Zahnarzt, während es bundesweit lediglich 65,4 Prozent waren. Trotzdem ist Karies nach wie vor ein Problem, hinzu kommt neuerdings das bislang rätselhafte Phänomen der Kreidezähne. Um diesen und anderen Erkrankungen vorzubeugen oder sie zumindest so früh wie möglich zu erkennen, sind regelmäßige Besuche beim Zahnarzt unabdingbar, verdeutlicht Birgit Dziuk.
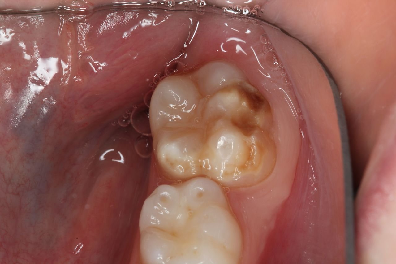
Der BARMER Zahnreport liefert erstmals Auswertungen zur regionalen Häufigkeit von Kreidezähnen. Demnach sind die Sechs- bis Zwölfjährigen in Thüringen stärker betroffen als in anderen Bundesländern. Knapp 9.600 Mädchen und Jungen in dieser Altersklasse leiden an der neuartigen Erkrankung, so die Hochrechnung auf Basis der BARMER-Daten. Das entspricht einem Anteil von acht Prozent und ist bundesweit der zweithöchste Wert. Nur in Brandenburg (neun Prozent) tritt das Phänomen noch häufiger auf, der bundesweite Durchschnitt liegt bei sechs Prozent.
Bei Kreidezähnen handelt es sich eine Schmelzbildungsstörung, die meist an den ersten bleibenden Backenzähnen auftritt, häufig auch an den bleibenden Frontzähnen. Milchzähne können ebenfalls betroffen sein. Es bilden sich weiße bis gelblichbraune Flecken – je größer und dunkler die verfärbten Stellen sind, desto stärker ist die Störung. Bei schweren Fällen ist der Zahnschmelz stark geschwächt und bricht ein, daher auch der Begriff Kreidezähne. Bei den schwächeren Ausprägungen sind die Zähne nur verfärbt. In den meisten erkannten Fällen von Kreidezähnen haben die jungen Patienten starke Schmerzen, insbesondere beim Zähneputzen und Essen. Daraus können sich Ängste entwickeln. Zudem können unbehandelte Kreidezähne langfristig zu schlechter Mundhygiene und Karies führen, verdeutlicht Birgit Dziuk. Eltern müssten sich aber keine Vorwürfe machen. Bei Kreidezähnen handle es sich um Schädigungen der Zähne, die nicht durch mangelhafte Mundhygiene entstehen. Wichtig sei, dass die Störung frühzeitig erkannt und behandelt wird.
Ursachenforschung noch nicht abgeschlossen
Eine wesentliche Rolle bei der Entstehung scheinen Probleme während der Schwangerschaft, Frühgeburten, Infektionskrankheiten, Antibiotikagaben, Dioxine und Erkrankungen der oberen Luftwege im frühen Kindesalter zu spielen. Die Ursachenforschung für die Erkrankung ist jedoch nicht abge-schlossen. Damit die Mineralisierungsstörung keine große Unbe-kannte bleibt, ist aus Sicht der BARMER weitere Forschung erforderlich. Solange die Kreidezähne nicht verhindert werden können, konzentriert sich der Schutz der Mundgesundheit von Kindern auf die Aufklärung der Eltern und den Erhalt der betroffenen Zähne. Mit der Mundgesundheit hängen viele soziale Faktoren zusammen. Ist sie schon in einer frühen Lebensphase beeinträchtigt, kann das negative Folgen für die kindliche Entwicklung, den Schulerfolg und das Sozialverhalten haben, sagt Birgit Dziuk.
Wie der BARMER Zahnreport außerdem aufzeigt, gibt es in Thüringen im Vergleich zum bundesweiten Durchschnitt weniger Zwölfjährige, an deren Zähnen noch gar nichts repariert werden musste. Während im Freistaat im Jahr 2018 nur rund 63 Prozent der zwölfjährigen Mädchen und Jungen ohne jegliche Zahnreparaturen ausgekommen sind, waren es bundesweit 67 Prozent. Nach Auswertungen der Deutschen Arbeitsgemeinschaft Jugendzahnpflege sind 79 Prozent der Gebisse der Zwölfjährigen im Freistaat kariesfrei. Das ist ein sehr guter Wert. Es ist zu hoffen, dass er sich durch die Corona-Situation nicht wesentlich verschlechtert. Um das zu schaffen, ist die Verantwortung jeder und jedes Einzelnen gefragt, so Birgit Dziuk.
Autor: redIn dieser Ausnahmesituation ist es wichtiger denn je, dass Eltern genauestens auf die Zahn- und Mundgesundheit ihrer Kinder achten, appelliert Birgit Dziuk, Landesgeschäftsführerin der BARMER Thüringen. Die Gruppenprophylaxe in Kindergärten und Schulen sei momentan nicht in gewohntem Maße möglich, weshalb es umso wichtiger sei, Zahnarzttermine nicht aufzuschieben. Karies, Kreidezähne und andere Zahnerkrankungen machen keine Pause während der Pandemie, so Birgit Dziuk.
Die BARMER hat in ihrem aktuellen Zahnreport festgestellt, dass es fast zwei Drittel der Eltern in Thüringen versäumen, mit ihren Kindern zur Vorsorgeuntersuchung zum Zahnarzt zu gehen. So waren 2018 lediglich 39 Prozent der Zweieinhalb- bis Sechsjährigen Thüringer zur Früherkennungs-untersuchung. Bundesweit waren es sogar nur 35,2 Prozent. Ganze 15 Prozent der unter Sechsjährigen waren den BARMER-Auswertungen zufolge noch nie beim Zahnarzt. Wer mit seinen Kindern nicht zur Vorsorge geht, bringt sie um die Chance, mit gesunden Zähnen aufzuwachsen. Kariöse Milchzähne führen zu schlechten bleibenden Zähnen, schlimmstenfalls auch zu Fehlernährung und Entwicklungsstörungen, unter denen die Kinder ein Leben lang leiden, sagt Birgit Dziuk und verweist auf die hohen Hygienestandards in Thüringens Zahnarztpraxen. Termine ausfallen zu lassen, sei die denkbar schlechteste Lösung in der aktuellen Situation.
Karies und das Rätsel Kreidezähne
Dem BARMER Zahnreport zufolge steigt die Rate der Inanspruchnahme von Vorsorgeuntersuchungen mit den Lebensjahren. Immerhin 70 Prozent der 6- bis 18-jährigen Thüringer waren im Jahr 2018 zur Vorsorge beim Zahnarzt, während es bundesweit lediglich 65,4 Prozent waren. Trotzdem ist Karies nach wie vor ein Problem, hinzu kommt neuerdings das bislang rätselhafte Phänomen der Kreidezähne. Um diesen und anderen Erkrankungen vorzubeugen oder sie zumindest so früh wie möglich zu erkennen, sind regelmäßige Besuche beim Zahnarzt unabdingbar, verdeutlicht Birgit Dziuk.
Der BARMER Zahnreport liefert erstmals Auswertungen zur regionalen Häufigkeit von Kreidezähnen. Demnach sind die Sechs- bis Zwölfjährigen in Thüringen stärker betroffen als in anderen Bundesländern. Knapp 9.600 Mädchen und Jungen in dieser Altersklasse leiden an der neuartigen Erkrankung, so die Hochrechnung auf Basis der BARMER-Daten. Das entspricht einem Anteil von acht Prozent und ist bundesweit der zweithöchste Wert. Nur in Brandenburg (neun Prozent) tritt das Phänomen noch häufiger auf, der bundesweite Durchschnitt liegt bei sechs Prozent.
Bei Kreidezähnen handelt es sich eine Schmelzbildungsstörung, die meist an den ersten bleibenden Backenzähnen auftritt, häufig auch an den bleibenden Frontzähnen. Milchzähne können ebenfalls betroffen sein. Es bilden sich weiße bis gelblichbraune Flecken – je größer und dunkler die verfärbten Stellen sind, desto stärker ist die Störung. Bei schweren Fällen ist der Zahnschmelz stark geschwächt und bricht ein, daher auch der Begriff Kreidezähne. Bei den schwächeren Ausprägungen sind die Zähne nur verfärbt. In den meisten erkannten Fällen von Kreidezähnen haben die jungen Patienten starke Schmerzen, insbesondere beim Zähneputzen und Essen. Daraus können sich Ängste entwickeln. Zudem können unbehandelte Kreidezähne langfristig zu schlechter Mundhygiene und Karies führen, verdeutlicht Birgit Dziuk. Eltern müssten sich aber keine Vorwürfe machen. Bei Kreidezähnen handle es sich um Schädigungen der Zähne, die nicht durch mangelhafte Mundhygiene entstehen. Wichtig sei, dass die Störung frühzeitig erkannt und behandelt wird.
Ursachenforschung noch nicht abgeschlossen
Eine wesentliche Rolle bei der Entstehung scheinen Probleme während der Schwangerschaft, Frühgeburten, Infektionskrankheiten, Antibiotikagaben, Dioxine und Erkrankungen der oberen Luftwege im frühen Kindesalter zu spielen. Die Ursachenforschung für die Erkrankung ist jedoch nicht abge-schlossen. Damit die Mineralisierungsstörung keine große Unbe-kannte bleibt, ist aus Sicht der BARMER weitere Forschung erforderlich. Solange die Kreidezähne nicht verhindert werden können, konzentriert sich der Schutz der Mundgesundheit von Kindern auf die Aufklärung der Eltern und den Erhalt der betroffenen Zähne. Mit der Mundgesundheit hängen viele soziale Faktoren zusammen. Ist sie schon in einer frühen Lebensphase beeinträchtigt, kann das negative Folgen für die kindliche Entwicklung, den Schulerfolg und das Sozialverhalten haben, sagt Birgit Dziuk.
Wie der BARMER Zahnreport außerdem aufzeigt, gibt es in Thüringen im Vergleich zum bundesweiten Durchschnitt weniger Zwölfjährige, an deren Zähnen noch gar nichts repariert werden musste. Während im Freistaat im Jahr 2018 nur rund 63 Prozent der zwölfjährigen Mädchen und Jungen ohne jegliche Zahnreparaturen ausgekommen sind, waren es bundesweit 67 Prozent. Nach Auswertungen der Deutschen Arbeitsgemeinschaft Jugendzahnpflege sind 79 Prozent der Gebisse der Zwölfjährigen im Freistaat kariesfrei. Das ist ein sehr guter Wert. Es ist zu hoffen, dass er sich durch die Corona-Situation nicht wesentlich verschlechtert. Um das zu schaffen, ist die Verantwortung jeder und jedes Einzelnen gefragt, so Birgit Dziuk.
